DOLGU NEDİR?
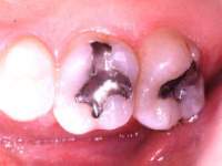
Dolgu dişin çürük, kırılma, aşınma vb. sebeplerle kaybettiği dokularının özel olarak üretilmiş bazı maddelerle yerine konması işlemidir.Dolguların en çok bilinen şekilleri amalgam ve kompozit dolgulardır.
Amalgam dolgu: Metalik renktedirler.Azı dişlerine yapılan dolgulardır.
Kompozit dolgu: Diş rengindedirler.Sıklıkla ön dişlerde kullanılır. Diş hekiminin uygun görmesi halinde  azı dişlerinde de kullanılır.
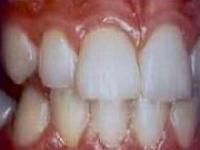
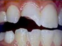
                    önce                                         sonra