South African Myeloma Foundation

Line
Links Archives

spacer

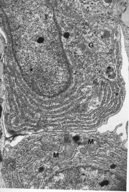
I am fortunate to be working with Prof. Barry Mendelow who did a Ph. D. in 1979 on the role of plasma cells and their relationship to the in vitro micro-enviroment. These cells have now been shown to be Dendritic cells and the photos which Prof Mendelow kindly gave to this homepage are very interesting retrospectively.

In figure 1 he shows the close relationship of plasma cells and dendritic cells. The dendritic cell is the cell in the middle and the plasma cells are around the edges. You can see the way the plasma cells squeeze themselves against the dendritic cell to maximize the area of the cell exposed to the dendritic cell. They are most likely feeding on viral IL-6 made by the Karposi Sarkoma Herpes virus.




In figure 2 you can see the same thing note that the dendritic cells has no cell extentions because of the fixation methods used in the seventies.


To see a slightly bigger file containing an electron microscope magnification of this cell to cell contact,
click here



Back To My Homepage

line

1