| Case |
C |
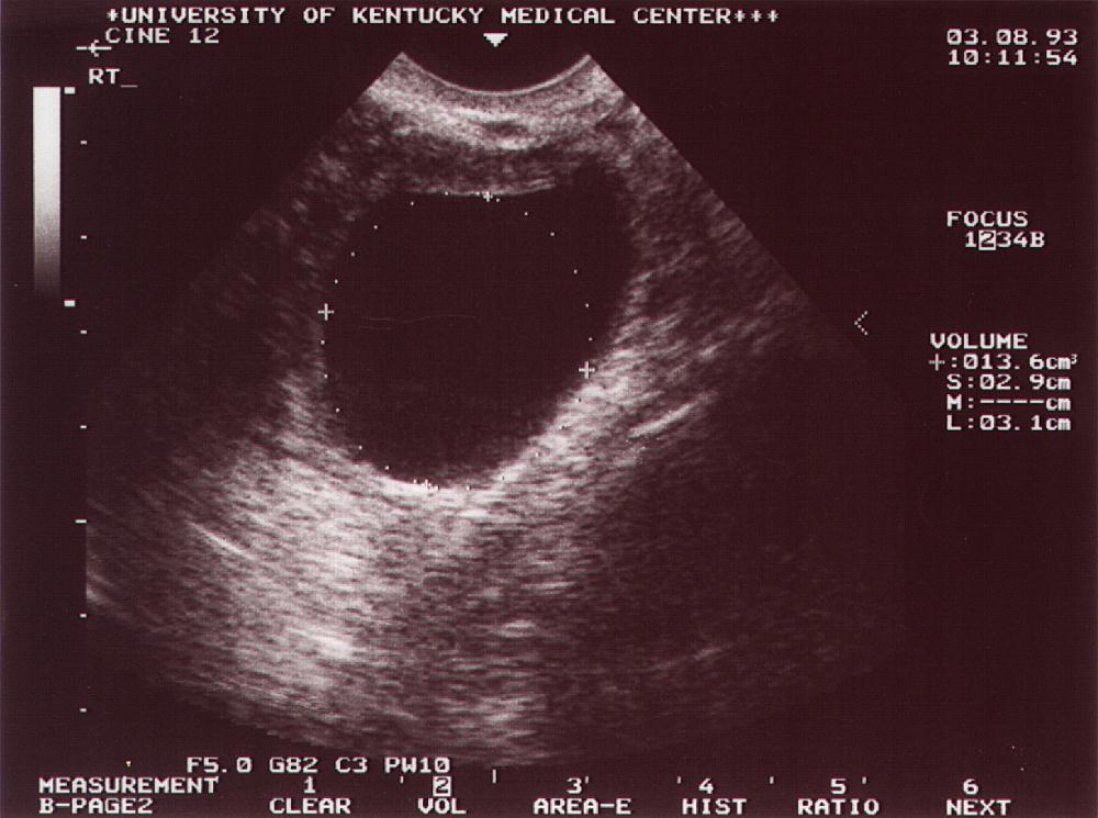
| Age at Dx |
42 |
| CA-125, U/ml |
14 |
| Physical Exam |
Palpable |
| TVS size, cm3 |
14.7 |
| TVS – cystic | |
| TVS – solid | |
| TVS – papillation | |
| TVS – septation | |
| TVS – MI |
1 |
| Tumor Stage |
IA |
| Treatment |
S |
| Status |
A & W |
| DX Date |
Mar-93 |
| Years Post Dx |
6.0 |
This page is maintained by Dr. Edward J. Pavlik
I can be e-mailed at: epaul1@.uky.edu or ejpavlik@msn.com
Last revised: March 17, 2008
Content Copyright 1999- 2008,
Edward J. Pavlik