PATOLOGIA SISTEMAS II (SISTEMA RESPIRATORIO)

PASO PRACTICO N 1

PATOLOGIA VASCULAR DEL PULMON

INTRODUCCIÓN

La patología vascular del pulmón es un conjunto de enfermedades del sistema circulatorio pulmonar. Este sistema, a diferencia de la circulación sistémica es un territorio de baja presión, aproximadamente 1/8 de la presión sistémica, y de baja resistencia. Estas características le permiten absorber una gran cantidad de volumen sin cambios de presión. Esto se traduce en que el pulmón es uno de los principales órganos que participan como órganos compensatorio en patologías vasculares sistémicas

ACTIVIDADES

EDEMA PULMONAR

El edema pulmonar es una situación patológica que resulta de la pérdida del equilibrio de las fuerzas de Starling y que se traduce en el aumento del volumen del componente intersticial. El edema pulmonar, se produce por aumento de la presión hidrostática intravascular del pulmón y por ello los términos congestión pulmonar y edema pulmonar son dos términos que forman un continuo de progresión de enfermedad. El pulmón, a diferencia de la mayoría de otros órganos, soporta grandes aumentos de volumen sin modificación en la presión intravascular. La consecuencia de esta tolerancia es un aumento de la presión hidrostática y la consecuente salida hacia el intersticio, formando el edema pulmonar. Este tipo de edema pulmonar se denomina edema cardiogénico o hidrodinámico ya que la insuficiencia cardiaca es la principal causa de esta patología.

Las características macroscópicas de los pulmones con congestión y edema son el aumento de peso y la presencia de líquido, fundamentalmente en los lóbulos basales. Este fenómeno se observa en las imágenes radiológicas y en casos extremos se traduce en derrame pleural. A nivel histológico hay congestión capilar y aumento de líquido en el intersticio En forma casi paralela existe también, en los espacios alveolares líquido libre y proteínas, las cuales se pueden teñir con eosina, dándole un color rosado al transudado intraalveolar [imagen]Al mismo tiempo se puede observa macrófagos cargados con hemosiderina en los capilares pulmonares como en el espacio intraalveolar. Estás células se denominan células cardiacas ya que el ejemplo más característico de esta patología es la Insuficiencia Cardiaca por Estenosis Mitral.

Este tipo de cardiopatía se caracteriza por un marcado aumento de la presión intraauricular izquierda producto de la estenosis, electtrocardiográficamente hay evidencias de hipertrofia auricular izquierda y el pulmón es el reservorio de la volemia acumulada en la aurícula izquierda. En la larga evolución natural de esta enfermedad se observa además de los cambios descritos secuelas como engrosamiento de los tabiques intra-alveolares producto de la fibrosis a consecuencia de microruptura de capilares por la severa congestión. Es importante mencionar de que a pesar de los cambios experimentados en esta patología, la pared endotelial se mantiene intacta en sus mecanismos de permeabilidad y los fenómenos descritos son una situación límite de las leyes de Starling, es decir aumento exagerado de la presión hidrostática del capilar pulmonar.

SINDROME DE DISTRESS RESPIRATORIO DEL ADULTO

El Sindrome de distress respiratorio del adulto o ARDS (Adult respiratory distress síndrome) es el ejemplo pulmonar, de patología vascular por daño de la membrana endotelial. En la circulación sistémica este tipo de patología vascular se denomina shock séptico, y ocurre porque microorganismos dañan directamente la pared endotelial. La sobreposición entre shock séptico y ARDS queda demostrada porque ARDS forma parte de las manifestaciones del schok séptico [imagen]. El ARDS tiene numerosos sinónimos como pulmón de shock, daño alveolar difuso o pulmón traumático. El hecho central del ARDS es la disfunción de la unidad alveólo-capilar. Los cambios morfológicos característicos de ARDS son congestión y edema, al igual que en el edema pulmonar, pero además depósitos de fibrina denominados membranas hialinas. Estos depósitos están presentes en toda la superficie alveolar impidiendo el intercambio de oxígeno y consisten en un precipitado proteico y lipídico. El componente proteico de las membranas hialinas proviene de neumocitos y células endoteliales necróticas (reflejando el daño de la unidad alveólo-capilar) y los lipídicos del surfactante pulmonar precipitado. En forma reactiva hay proliferación de los neumocitos tipo II. En la patogénesis del ARDS el fenómeno central es el daño de la unidad alvelolo-capilar. El Sindrome de distress respiratorio del recién nacido es una patología similar al ARDS, excepto que en la patogénesis, la enfermedad pediátrica se debe a falta de surfactante pulmonar, en cambio en el adulto (ARDS) el daño es una injuria directa contra la célula endotelial del capilar pulmonar y/o, en menor frecuencia, contra el neumocito del saco alveolar [imagen]. El daño de la célula endotelial se cree se debe a la liberación de mediadores químicos de la inflamación aguda y por esta razón el polimorfonuclear-neutrófilo (PMN-NF) se cree tienen un rol central en la patogénesis del ARDS. Los macrófagos podrían ser al célula alternativa dada la gran riqueza enzimática del macrófago activado. De todos modos el PMN-NF siempre estaría presente dada la liberación de IL-8, factor quimiotáctico para PMN-NF liberado por el neutrófilo. La imagen radiológica de pacientes portadores de ARDS muestra un relleno alveolar difuso, denominado espumoso o algodonoso, fundamentalmente en las bases pulmonares y reflejando el deposito intraalveolar de las membranas hialinas.[imagen]

TROMBOEMBOLISMO PULMONAR

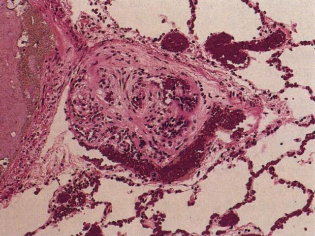
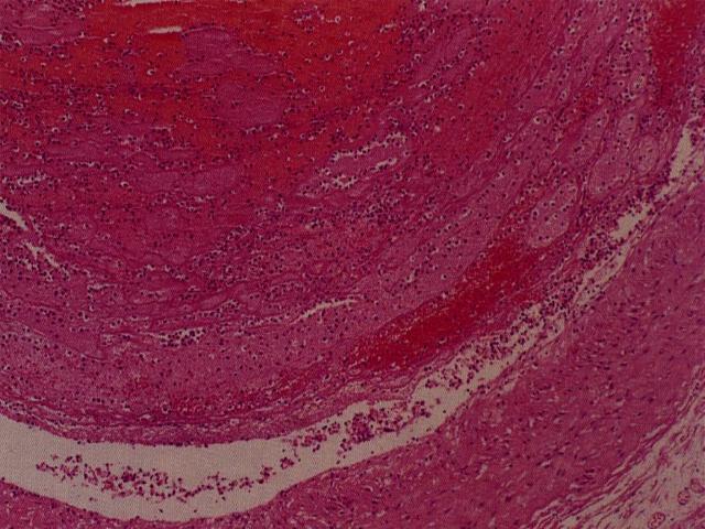
El Tromboembolismo pulmonar (TEP) es una patología frecuente del pulmón. El TEP es una secuencia de eventos que comienza con la formación de trombos en órganos a distancia conectados al pulmón por circulación venosa. Es importante mencionar que el pulmón es el único territorio capilar que recibe circulación venosa en forma aferente, por lo que cualquier trombo generado en distintos órganos tiene el riesgo potencial de afectar el capilar pulmonar. La migración del trombo al pulmón se llama embolo y de ahí el término trombo-embolismo pulmonar. La principal causa de TEP es la trombosis venosa profunda. Esta y otras causas de TEP se muestran en la figura [imagen]. Como se observa diversas causas además de la trombosis pueden ser causa de TEP como por ejemplo la embolía de líquido amniótico o la embolia grasa [imagen].. La gran mayoría de los TEP son subclínicos, son microembolías que en forma crónica pueden llegar a provocar Hipertensión Pulmonar. Sólo los TEP masivos pueden provocar sintomatología clínica [imagen]. Los cortes histológicos de esta lesión revelan un trombo organizado compuesto por capas alternadas de eritrocitos y leucocitos / fibrina [imagen]. La consecuencia de esta lesión en el pulmón será la hemorragia [imagen] y el infarto hemorrágico del pulmón.[imagen]

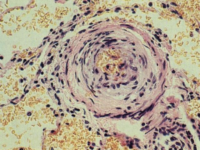
HIPERTENSIÓN PULMONAR

La hipertensión pulmonar es el evento final del edema pulmonar, ARDS o TEP, cuando se ha superado la gran distensibilidad del territorio vascular del pulmón. También patologías asociadas a severa hipoxia, producen por vasoconstricción, hipertensión pulmonar como el enfisema o enfermedades restrictivas. La célula endotelial del capilar pulmonar es la responsable de esta patología y refleja un daño celular reversible con la secuela de disfunción celular. Existe un forma menos frecuente de hipertensión pulmonar, que es la forma ideopática o primaria. La importancia de esta patología es que permite estudiar al disfunción de la célula endotelial fuera del contexto de patologías crónicas de larga evolución, responsables de la hipertensión pulmonar secundaria (edema, ARDS, TEP). En este contexto se ha descrito asociación a patología autoinmunitarias o de exagerada liberación de moléculas con acción vasoconstrictora como endotelina. También se ha postulado un rol de las células musculares lisas de la pared vascular y el vasoespasmo. Histológicamente las lesiones vasculares de la hipertensión pulmonar son variadas y no existe una morfología característica de las HTP 1ria o 2ria., sugiriendo que ambas podrían tener una patogénesis común. Una representación esquemática de la morfología en etapas temprana y tardía de la HTP se muestra en la figura [imagen]. La presencia de hipertrofia de la capa muscular [imagen] y la proliferación plexiforme de la íntima [imagen] son morfologías centrales en la HTP.

a página principal