UK Climbing Horror Stories Go back to climbing


"You know things are getting desperate when you start chalking-up for grassy sods..."
(Lundy 1998)

These pages are dedicated to the telling of gut wrenching tales of horrid injury or near-miss experience. The type of stories you hear in the pub, that makes your crisps curl. That sort of thing. All have some basis in truth; well at least they've been told to me. Apocryphal, but effective I think ... Please feel free to submit your own.

Contents
Big falls - I
Competition is bad for your health
Out of sight, out of mind
Nice soft sandy landing ...
Stuck ropes - I
EpicMeister Ransome
Stuck ropes - II
Slip sliding away
"Birds, eh?"
Pembroken
Huge Fall I
New routing at Cilan Head
Clip or die!
GOREdale
"SLACK!!"
Verdon rope testing
Abseil nightmare - I
Big falls - II
The Approach Path
Steph's Ankle with exclusive X-rays!
Anvil Chorus
Huge Fall II
Look No Fingers!
Acknowledgements

Thanks to the following for contributions, in one form or another: Matt Gallagher (for the original idea), Noel Curtis, Roger Peppe, Dave Hollingham (that's the last time I'm rescuing you, Dave!), Ian MacLellan, Al Downie, Martin Brown, Gareth Rees, John Wilson, Pete Squires, Martin Thompson, Graeme Peacock, Aiden Maguire, David Jones, Steph Barrett, Ruth Taylor, Bob Wightman, Craig Smith, Al Evans, Andy Kay and the staff of Airedale General.




Big Falls - I

Graeme Peacock has fun on The Ben.

"It was a dark and windy night on the Ben - no, really, it was. We were doing Tower Ridge, but as usual for students, we weren't too good at getting up in the morning, so we were stuck behind half of Scotland and got benighted. The people in front rapped down into Tower Gully, rather than doing the gap at night, so we followed. Made a good ledge and belayed in the gully, then started to traverse over to avoid the steep bit (classic grade III/IV - what's the name - Tower chute or something like that?). The snow was rather questionable, so we went one at a time (3 of us), roped together.

"Tom got to the end of the rope and set up an axe-belay, then I started across. Unfortunately, the snow soon gave way, and I was sent tumbling down the gully. Really powderry snow and the previously practiced axe-arrests didn't work. I came to a stop with a bit of a jerk, held just above the steep bit by loose snow, minus my headtorch! The fall (full rope-length, plus a bit) had ripped the axe-belay out, but Tom hadn't been dragged far.

"There followed an epic descent with me in shock, but otherwise unhurt (OK then - a bit of a cut which plastered my whole face with blood, but didn't hurt!) down to the CIC hut, then over the shoulder back to Glen Nevis, where we bivvied outside the YHA. The looks we got from the Youth Hostelers in the morning was worth it though."

top



Competition is bad for your health

Climbing walls. Playground for 'adults'? Martin Thompson speaks.

"One day me and another lad decided to race each other up the wall that we instruct on. No ropes, no harnesses and no crash mats at the bottom......3/4 of the way up we cross path and my sporting opponent kicks me off the wall for getting in his way. The floor approached at a great speed and I only just managed to land on my feet bending my legs to absorb the shock. Silence donned the room until everyone realised I had landed safely, everyone cheered. At this point i fell flat on my back and couldn't stand up, on reaching the hospital and having some x-rays done, the hospital revealed to me that i hadn't bent my knees enough and had shattered the heel plates of both feet. Several months were spent on crutches due to this little game.... "

top



Out of sight, out of mind

Sitting comfortably? Good. Relax and listen to Al Downie's words of wisdom ...

"I'd been climbing with my (now ex- :o( ) girlfriend for a couple of months, indoors and out. She'd strolled up a few fairly technical routes (HVS, E1) on those outings, and I was quite confident of her abilities. And she had a great bum.

"Anyway. We met an old friend of mine, Mr Other, who had been hillwalking for years, and was desperate to learn how to climb so that he could get up the In-Pin (his last Munro). We went out to a few crags in the evening, and I'd taken him to the Etive Slabs, where he had a ball and proved that he understood ropework and what to do with gear. We decided to go to Skye for a weekend to do Cioch Direct (V.Diff, I think).

"It had been raining during the week before, but the first few pitches looked dry so we decided to have a go. Mr.O led the first pitch, and looked confident. Inez and I followed on separate 9mm, and we all romped up to the foot of the crux chimney. Much to our dismay however, there was a river running down it, so I chose to lead that pitch, before Mr.O and then finally Inez. Mr.O had an awful time. He couldn't make the moves in the chimney because it was wet and slippery. After about half an hour struggling, I hauled him up to get us on our way. After a long wait on the last stance, Inez was cold and miserable, and not moving with her usual grace and style. Turns out she'd never climbed a chimney before, and found it a bit desperate. She slipped, and needed to be pulled up the last few feet. By the time she joined us, she was completely spooked and in tears.

"As I recall, the next pitch starts with a traverse under an overhanging nose, and then disappears up the other side of the nose, out of sight. I had planned to lead that pitch, but Inez was pretty upset, and needed cheering up. I asked Mr.O if he felt up to leading the pitch, and he sounded confident, so I gave him the beta and sent him on his way while I stayed and blethered with Inez. He disappeared round the corner, and carried on climbing. At half-rope, I shouted but there was no reply and the rope kept going. I shouted again, as loud as I could, but still no reply. With about 10m of rope left, I gave a sharp tug and shouted again, but the rope kept on going. At 5m, I tugged the rope again, but it kept going until there was none left. "I had no way of knowing what kind of position Mr.O was in, if he'd been able to place any gear or whatever. I mulled over all my options. If I started climbing, and slipped, I might pull him off. I decided the best thing to do was to untie and solo along to the other side of the nose to see if I could see him, but Inez had a screaming fit and wouldn't let go of my leg. I tried to calm her down, and assured her that it was an easy traverse and I wouldn't fall, but she was still pretty hysterical. I finally had no option but to traverse with the rope, and I managed to climb offroute into a position where I could see both Mr.O and Inez, and I could shout instructions. Mr.O was taking in slack, so I assumed he had a belay, and I told Inez to start climbing while I could watch and talk her through the traverse. We got to the top of the route to find Mr.O belaying from a No.2 rock in a wobbly flared crack. Hmmm.

"I guess experience comes from making mistakes, and I made a few. I think the most important mistake was letting a novice climb out of sight. Won't do that again!"

top



Nice soft sandy landing ...

Southern sandstone. Bowles rocks. Digitalis (F7a+). Young chap goes to solo this pumpy little route - nice sandy landing, can do it on toprope, therefore no problem. Half way up, the young lad drops off, and his friends watch him hit the deck feet first. "Phew!" Collective sigh of relief when they see him standing upright, no sign of injury. Until he painfully gasps that he can't move.
On impact, his tibula and fibula drove through his ankles, embedding themselves in the sand ...

top



Stuck ropes - I

Moelwyns. Some HVS. Noel Curtis takes up the story ...

"I once had to untie at the top moves of some HVS in the Moelwyns. This was before the days when I could lead anything up to oooh E1 and it was a big old lead for me at the time. Anyway both ropes got completely stuck when I couldn't reverse the move and I couldn't remember how far below me my last piece of gear was, or how good it was. It was a very windy day and a quite long route so my second couldn't hear me shout him to untangle the ropes. So, after a good ten minutes of pulling at the ropes I did the most sensible thing and untied both ropes one handed then soloed the last moves. My second was very suprised to find his questioning shouts answered by me tapping him on the shoulder after walking back round to the base of the crag."

top



EpicMeister Ransome

The Lake District, Gimmer Crag. Ian MacLellan [Ian 1] recounts a day out with Ian Ransome [Ian 2] ...

"HOT day at Gimmer, and a certain not so young lad called Ian is struggling up to the bottom of the crag with another even less young lad called Ian. Both old enough to know better. 'I feel a bit dizzy' says one. 'Just have some water' says t'other and off we go up a six pitch HVS (two routes strung together- can't remember the names). We get halfway up and Ian 1 still feels shit so instead of walking off to safety along the grassy ledge, Ian 2 leads the rest of the route. After a brief piss-about with caught ropes, we reach the final two pitches ... as it gets dark. Ian 1 is now seriously dizzy and dehydrated. The two scramble to the top and, full of concern for his mate's safety, Ian 2 dissappears into the night, leaving Ian 1 to stumble blindly around the top of the crag, attempting to negotiate all manner of choss-filled, slimy descent gullies. Sometime later, Ian 2 re-appears with headtorch, mars bar and Ian 1's trainers...
"...then... Ian 2 decides he knows a short cut to the ODG so instead of following the nice, well-worn, easy-to see path, we hack off into the bracken (it is now around midnight...) Three stream crossings later we are completely lost and decide to descend a gully which proves to be more dangerous (and considerably wetter...) than the route ... Eventually, at around 2am, reaching two very irate friends who have been waiting since 10 pm for their lift home..."

top



Stuck ropes - II

Ben Nevis. Banana Groove (E4). I was once dragged up this route by a ridiculously keen Andy Cockburn. Very windy conditions, not enough clothes, etc. A smattering of rain put us in the right mood. Andy, to his credit, stormed up the crux pitch and I followed, thankfully resting on the rope whenever a wire was 'too hard' to extract with one hand (sneaky, eh?). Beacause of the wind, Andy had carefully 'lapped' the ropes at the hanging stance. However, when I reached him the wind dropped and in a moment of optimism, Andy kicked the ropes off. Predictably, back came the wind and took 2 x 145ft. of slack rope around the arete (Aggripa), and jammed them tight. With little option, our hero Andy sets off leading uncharted (unscrubbed) ground with just enough rope to reach the sticking point, and continued up the arete.
Our dilemmas didn't quite end there, as abseiling off Titan's Wall the wind was so strong, it's the only time I've paid out slack, and moved upwards ...

top



Slip sliding away

Scotland. Etive Slabs. The Pause (HVS). Mark, nickname Agasi due to uncanny resemblence to folicly challenged sports-star, has a history of 'loosing' a route. Once discovered half way up Haystack instead of the Needle. Anyway, the line at top of The Pause is notorious for being particularly coy with leaders - very easy to get lost on a non-reversable slab. Non-the-less, our hero finds himself lost, alone and runout, no belay in site, and at the end of the rope. He decides to test the non-downclimbable theory, and finds it holds true.
The first 40 metres he did on his hands and knees. After the overlap, he did the rest on his backside. His girlfirend belaying lost skin off her hands holding the fall, while Mark lost quite a lot more. It takes a long time to scrape 80m. Can you imagine getting halfway, and thinking "I've another 40m to go"?
He has since recovered.

top



"Birds, eh?"

Yorkshire. Heptonstall Quarry. Fairy Steps (VS). Our North-of-England correspondant, Noel Curtis, reports ...

"At Heptonstall quarry in the fine county of Yorkshire there's a route called Fairy Steps. I'd had it in my mind to solo it as it was fairly easy and on good rock. I'd led it before a few years earlier. I was with the Liverpool University club and it was a bit wet and drizzly. With everyone else still deciding that routes looked a bit hard/damp/intimidating, I decided there was no time like the present. The bottom 65 feet of the climb went fine. The problem arose when I had to step out onto an arete and move up to a good ledge. On reaching up for the ledge I found it was covered in bird shit. Not put off by this, I decided to try the route direct. On reaching the same ledge from the other side, suprisingly enough it was also covered in shit and it was at this point that my hands slipped off and I was airborne. After what seemed like an eternity I landed on the ledge that I'd been stood on, a few inches below where my feet had been.

"It was a good fifteen minutes later, with me having had several thousand panic rushes that my mate lowered me a harness on a rope and I had the pleasure of stepping into the harness on the ledge and getting lowered off. If you're going to solo, always wear a harness."

top



Clip or die!

An apocryphal tale. Llanberis Slate. Rainbow Slab. Probably Raped by Affection (E7). Rumour has it that a young upstart called Johnny (I think you know who I mean), attempted the second ascent of this route on sight. The first 70ft are effectively unprotected and then you get a single bolt and the technical crux, and so to the top. Johnny nears the bolt, but lacks Redhead's reach, and is unable to clip it. In desperation, he calls for a load of slack from his belayer and, with a quickdraw clipped into the rope, jumps for the bolt. He slams the krab home and immediately weights the rope. Thus, the first dyno-clip was born.[1]

[1] Why didn't he ask for a rescue rope like most of us would? Gads!

top



GOREdale

Gordale Some Hard Severe. Roger Peppe recounts a fitting episode...

" 'twas at gordale, with ewan cummins and possibly sean and some guy they'd blagged into giving us a lift out there in his car. so we're looking for some route this guy can have a go at (as he's never climbed before) and we spot some HS up the left hand side of the gorge, just before the steps lead up and outwards. i go up to "have a look" and soon end up soloing it. it's quite easy climbing, but it is a reasonable length of pitch (60 or 70 foot or so). about 15 foot below the top, there's a big flake, big enough that i could straddle it, one leg behind it and one leg dangling. i'm not so sure about the last moves so i think i'll just sit and think about it. anyway, it's quite comfortable there with a bird's eye view of the gorge so i stay sitting there while ewan ropes up and leads up past me.

"he gets to the top, starts taking in the rope, and dislodges a large stone, which promptly falls bang on the top of me 'ead. oh dear, thinks i, i'll have a big of a bruise there, feeling for the bump and finding that my hand is now covered in blood.

"you know head wounds, blood, blood everywhere, dripping down my nose, into my eyes, even into my ears... and there am i, 50 foot up with no harness, and ewan hasn't found any sort of belay yet! so it's about 20 minutes before he finds a belay, pulls the rope up through the gear that he'd placed, lowers it down, gets the harness attached, gets it to me, and then i have to put the harness on and tie on, with blood *everywhere*, while astride this flake, feeling mighty dizzy. then trying to muster the presence of mind to remove the gear while lowering down.

"six stitches in the top of my head, only stitches i've ever had, i think. i vowed never to climb on limestone again without a helmet, but i've still not got around to getting one ... "

top



"SLACK!!"

Here's another one from Roger Peppe, about a certain young lad called Martin ...

"i remember one about dave and martin doing some gritstone HVS on a windy day, martin belaying, dave pulls over the overlap and out of sight, and finds that he can't get any more rope. "slack" he calls, but his words get blown away by the wind. oh shit, he thinks because it's actually the crux up there and he can't get the rope to the bit of gear he's just put in... "SLACK!" he calls again... martin just hears a faint bellow in the distance, and thinks "dave found that a bit easy then..." and takes him off the rope, "OK, YOU'RE OFF BELAY". luckily martin's words are also blown away and dave just feels there's some slack, clips the gear and heads for the top, no problem. good thing he didn't fall off!"

top



Verdon rope testing

France. Verdon. Belay ledge with a lot of air around it. Two youths from Cumbria / Yorkshire have just abseilled onto this ledge. They start sorting the ropes out; both are tied into the ends of a 9mm. One lad thoughtfully clips himself in to the bolts and continues sorting gear out. Looks up: his mate has gone! "Oh shit!" as he sees the coils whipping off the edge. Massive lo-o-o-ong strain on the rope as too many yorkshire puds and beer come to rest. Half an hour later, his mate arrives back at the ledge after falling and prussiking 150 ft on his shoe-laces. He dusts himself down, and asks whose lead it is.

top



Big Falls - II

Not actually in the UK either, but this gruesome one from Aiden Maguire is set at Lover's Leap, California...

"I work as a paramedic around these parts, and last year I picked up a guy that took a witnessed 140 foot fall. He was dragging his girlfriend up Bears Reach (5.7) and, as it was her first time on real rock, he was placing very little gear. He claimed to have soloed the route before, and so considered this to be no problem. On the last pitch he placed one nut and continued to the top. He was pulling over the summit block when he slipped. He dropped about 8 feet onto a slopey ledge and thought "I'll stop here" but then realized he wasn't. He tumbled down the main face across many, many horizontal dikes (typical Leap stuff).

"He was cognizant enough to see his girlfriends horrified face as he went flying by. She was apparently standing at the belay slightly bored when she noticed a huge amount of slack appearing in the line. She looked up to see her boyfriend tumbling toward her from 100 feet above. He finally came to a stop when his nut held, 40 feet below her. He was unconscious for about 2 or three minutes then came to. He managed to drag his ass back up to the belay, where his girlfriend was freaking out. She had not known what to do and let a lot of rope through the belay devise causing major burns to her hands. Some climbers lowered a line and hauled him up where he then collapsed on top.

"When I arrived she was still being belayed up, bleeding hands and all, and he was lying on top of the cliff. He looked like he had fallen of a motorcycle doing 70mph wearing only shorts and tank top. He had full thickness laceration from his eyebrow to the back of his head with the white skull shining through. He also had a broken collarbone, two broken ribs, and wide open fractures to both ankles. Not to mention road rash from head to toe, and a concussion. He was less than happy, as was his (now ex) girlfriend. It took four hours to carry him out.

"I understand he eventually healed up ok."

top



The Approach Path

Beeston Tor, Peak District. Tale sent in anonymously.

"Just abbed of the gash to the starting ledge, three of us: 2 men 1 woman. Still had the abb rope in position. I had the bright idea for safety sake that we should leave the rope and use it to belay us across to Majolica. Being three I also thought that if 2 traverse together it would save time, so I tied on to the young lady and she was on the end of the rope!

"We traversed across on sods and mud until the rope stuck. 'Damn,' I said. 'You stand still while I try to free the rope.' Just as I was given slack to free the rope, the sod that I was standing on collapsed, so if you can imagine, we pendled down the face for what seemed like eternity and landed on a big ledge.

"The farmer who lives over the river saw what had happened; he said he thought the belayer was going to be pulled up to the top as we went down! Beware of over safe climbers."

top



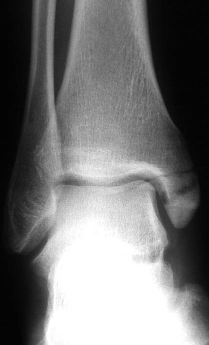
Steph's Ankle

Noel Curtis reports on a weekend in Yorkshire...

"We were at Caley, the Fontainbleau of England, and Steph was having an awful day and looking for a confidence booster. She'd found a nice VS in 'Plantation Ridge' and had already worked out the first few moves but had come down to consider it further. Helpfully, or so I thought, I soloed up it to find where the gear was and reassured her that she could get some in at about half height. With that she set off and was quickly on the slab but had not reached the gear yet and was running out of technique at an alarming rate. I spotted this and was trying to talk her down but she was in that bubble of panic where all helpful comments become background noise. The only thing left to do was to spot her and try to catch her on the way down, I'd now been joined by my big brother in-law so we had a fair chance of catching her clean.

"Meanwhile, back on the route, Steph had decided to make the move, which involved reaching her right hand up to the left arete of the slab and, of course, the inevitable barndoor occurred. She pivoted balletically round the arete to fall down the other face, completely missing the expertly placed spotters and landing on the less well placed boulders below. She landed on her ankle and taken a slice off it against a rock which had also broken the bone and gouged it a bit. After convincing her that passing out was a bad idea we eventually managed to fireman's lift her to the car and the hospital where she had her ankle 'pinned'. As the x-ray shows it would have been more appropriate to call it 'screwed'."

Before having the pin After Side view with pin
top



Anvil Chorus

drj recounts an ascent of Bosigran's Anvil Chorus

Eclipse Week 1999 Bosigran

"It's fine weather, I've been leading VS for a while this year, even led a couple of HVSes and 2 E1s. We decide to do the 4 pitch granite classic Anvil Chorus, a VS. Me and Adam. Adam has lent his harness to a visiting friend, so he's in a sling body harness that Gareth concocted. I'd bought The Manual of Modern Rope Technique earlier in the week so the harness looked good to me. Anyway, that meant I was leading all the pitches. Pitches 1 and 2 went fine. The belay at the bottom of pitch 3 was a bit awkward to arrange but I eventually got something sound and brought Adam up.

"Pitch 3 is the crux, a big layback corner crack and a traverse under the roof. The first moves getting into the crack are okay and a I get a bit of gear in. I go up a bit and try to find some more gear, but it's really awkward and none of these nuts seem to fit in the slightly flaring constrictions. Still I leave one nut in and go up a bit more; maybe there's better gear higher up. Hmm well, this friend is bit awkward, slightly too small; still, I'm tiring out hanging about putting gear in from this layback. So I go up and try to find some more gear. Hmm, a dodgy nut. I reach the top the crack and it bulges towards me, I'm going to have to reach over the bulge. I'm pumped out and barely have the strength to stay on. The granite is starting to feel sleepy with sweat as well. I start downclimb to lessen the inevitable and slip off after about the second move down. Fuck! The ledge is coming up awfully quickly. Surely some of that gear should hold?! This is it, I'm gonna hit the ledge!

"I feel the rope tension far far too late, but what a relief! My feet hit Adam; I bounce back and come to rest just above him. That was way too close. The three bits of gear that came out are dangling around me somewhere and the rope stretches up about 5 metres to a feeble looking friend 0.5 placed near the bottom of the crack, only the second piece of gear that I placed on the route. A good 10 metre fall. My water bottle has a big dent in it, I have bruised heels and a cut in the back of my thigh, I must hit a pinnacle on the way down. Adam has badly razed knuckles. Happily we can traverse off and downclimb from this ledge. For the rest of the week I would require three bomb proof runners before I would do a 4b move."

top



Pembroken

Ruth Taylor's memorable day out in Pembroke...

"One sunny Saturday morning in Pembroke, I set off with purpose to do Lucky Strike. Abseiled in to the ledge above the sea and stripped off a fleece to get down to business. Launching out on the excellent holds and slotting in gear without even having to think about what size would fit, I was really enjoying myself. I reached the top of the rising traverse and was just pulling over the shield bit when the seemingly solid bit of rock in my left hand became detatched from the cliff and I plummeted seawards. 'Hmm', I thought. The last piece of gear was below my feet, but it was good, so I'll stop soon. At that point I hit the water about 100ft below followed by the large boulder underneath it. 'Better get out of the sea' was my next thought and then I found myself on top of the boulder and feeling rather confused. My belayer was perhaps even more confused and certainly in more pain from rope burn. Still he tied into my ends of the ropes and climbed up taking all but the last two bits of gear out and dropped the ropes down the straight route just left of the corner, so that I could climb/squelch out trying not to raise my knees above waist level as that hurt my back. A few hours later after a trip to Haverford West hospital revealing no major damage I went to the St Govans Inn where some kind soul gave me back the gear we had to leave in at the top of the route. The moral of this story is, don't use ATC's and shiny new 8.5mm ropes. "

top



Huge Fall I

Bob Wightman reports...

"Some years ago I spent the few days after new year at Lochnagar with one Bill Birkett. The first day was typical Scottish winter: clag down and blowing a hoolie. This being our first route of the season and all that we headed for Parallel A. Having got well and truly lost on the way to the crag due to the low clag we eventually find the crag and search out our route. This involved passing the foot of Polyphemous Gully. A party was at work on the first main pitch, a 70 foot icefall. The leader was nearing the top of this, about to get onto easy ground.

"Planting both axes over the lip he began to move up. At this point BOTH axes ripped and he flew backwards. We suddenly realised that the leader had placed no gear on the icefall a deck out was inevitable. Indeed it was, gravity performed its usual act and deposited the leader on his back at the foot of the pitch with an audible "Wumph!"

"Without a moments hesitation the guy was back on his feet, axes at the ready, and heading for the icefall. He only said one word: "Climbing!" and promptly lead the pitch.

"Bill and I were speechless."

top



Huge Fall II

Bob Wightman again. Perhaps you should not climb with this man...?

"The second tale concerns my second season in the Alps. A route that I had fancied for some time was the Cecchinel-Nomine on the Grand Pilier D'Angle on Mont Blanc. After a free night in the now abandoned Ghiglione hut we headed over the upper Brenva Glacier to the foot of our route. All went well for the first section of the route up icy ramps and grooves to the foot of the crux pitch, a steep groove usually done on aid at A2. My lead and the aid turns out to be little more than easy A1. After another two pitches we are nearly at the point where the route swings right onto the top of the large icefield that dominates the lower part of the face. My belay is typically alpine and consists of a Friend 1 behind a loose flake.

"Mike sets off and I feed the rope out at a regular rate. Pretty soon it is getting to the point where he is going to have to belay. A few small lumps of ice zip past me, closely followed by Mike doing a passable impression of Franz Klammer without the skis! I look at the belay, realise it is crap and think "he hasn't got any runners in!" my eyes latch on a small spike on the wall in front of me and I slam the ropes on top of this in the hope that it will be able to take some of the imminent strain on the belay. I have visions of both of us heading to the foot of the face.

"Suddenly I hurl upward, at some point he had managed to place a runner on the pitch. Mike finally comes to a halt having fallen around 60m! His only injuries are a twisted knee, injured pride and "melting snow in my trousers" His words!

"What had happened was that he was about to step onto a ledge to belay when he happened to look up and saw lumps of ice heading towards him. He tried to twist out of the way but in doing so became detached from the ice and began to fall.

"I lead the pitch and we have a brew to settle our nerves after the pitch after that. We are now in a dilemma: do we retreat; call a helicopter or carry on? We decide to carry on. I have to lead all the way. We determine that the Off-widths of the upper part are out so settle on the variation pitches at Scottish Grade V. Later we find out that this was the fifth ascent of this variation. We have to bivvy on the Peuterey Ridge.

"The following day his knee has swollen to the size of a large grapefruit and is very painful. We make pitiful progress up the ridge to the summit of Mt Blanc, just beating a thunderstorm. Eventually we get to the valley. Mike was scheduled to leave for home the day after that, he had stayed on in the alps after his honeymoon! Once home his doctor advised him to go up and down stairs on his bum! "

top



New routing at Cilan Head

Al Evans recalls a new route ...

"My scariest ever climbing moments were on a route called Pathos on Cilan Head. Myself and Rod Haslam had spotted a parallel line running above Jack Streets route Lime Street and decided to give it a go. Now, Lime Street follows a big horizontal line about 15ft above a huge roof which is itself about 40ft above the sea. Our line was about 15ft above that. I started off up what looked like a fairly solid corner and indeed turned to be ok, but no runners. After about 40ft I placed an 'ok' peg and set off to traverse the break. The further I went the worse the rock got. No real handholds and eventually I was just kicking footholds in this strange rock like badly stuck together pineapple chunks. Finally I got to the ledge we had been aiming for completely gripped and emotionally drained. Now things started to turn serious. No belay. Well I got 2 knife blades about three quarters of an inch upwards into a thin crack in the roof above the ledge. Well there was no way I was going back along that traverse so I shouted to Rod that I would just jump off into the sea. You can tell how gripped I was.

Rod would have none of it and insisted he would come up and join me. He got to the peg unclipped it and we now had 40ft of rope out with no runners between us, an imaginary belay, and Rod about to climb the loosest traverse I'd ever done to join me. As he climbed towards me I watched in horror as the rock showered down from under his feet. Rod just coolly complained about the state of the gardening I'd done. When he saw the belay I could tell from his face that until then he hadnt believed how bad it was.I was totally gripped. We were in the middle of this huge unclimbed face about 70ft above the sea, no real belay, no way were either of us going back along the traverse and not knowing if we could climb out of the thing. Plus side was the rock had got better!

I hatched a plan, "Rod, this is what we do, I'll lower you down to Lime Street where we know there are good pegs. You belay and take in the rope, brace yourself and I'll jump off, then prussik up to you and we'll escape up Lime Street."

"Al, you've gone mad."

So plan B, Rod continues along the traverse for about 15ft. Whoops of joy as he finds a crack that takes a Leeper up to the hilt. Above is a long corner leading to a tree. Rod sets of up this, complaining about the lack of pro, so he is slow and careful. I see him finally arrive at the tree and put a sling round it, I'm happy now but Rod is still strangely quiet. He traverses about 15 ft left and finds a good crack in a corner which takes a big Hex belay. Fab.

By now its rapidly going dark so throwing caution to the wind with the big tree runner directly above me I blast up the crack. Its about 35 ft and probably only 4c but with no runners and considering the position it was a bloody good lead. Seeing me nearly fall off a couple of times through the carelessness of speed. Rod implores me to be careful. I arrive at the 'tree', its the biggest sea cabbage plant I've ever seen and might have just about held a squirrel monkey!! I traverse across to Rod. I look happily at Rod's stonking belay and we've only got about 25ft of perfect layback crack to the top and safety. For the first time in several hours I begin to see survival as a real option. I set off up the layback crack happily and its only as I get halfway up do I realise that what was a parallel crack when I set off is now distinctly wider towards the top.Just as I'm about to think hand jamming might be a better option Chris Jackson and Jack Street appear at the top of the crag and suss out that flake I'm climbing up is about to head for a dip. They brace themselves and grab hold of the flake holding onto the crag until I make the top. Anyway its a great route, Pathos HVS 4c 200ft, get out there and do it!"

top



Look No Fingers!

Andy Kay has this for us to digest:

"At the end of a days climbing at some Clwyd quarry i can't remember the name of me and my mate are packing our gear up and watching another team start up a route. The guy who is leading starts getting into difficulty and begins to sketch. I mutter to my mate: "Better get some gear in, looks like a grounder from there." At this point the leader goes airborne and lands horizontally at our feet. Of course, our first reaction is "F**k!" Our second reaction is to check the bloke out to see if he's ok. In the process of doing this we both look at each other and do a double take - we look at his hand and then the crack. This guy has no fingers on one hand! However it transpires that they are not left in the crack, he really has no fingers on one hand!

"His mate, somewhat shocked by the fall says "he always pushes the boat out and tries to lead at his limit" all i can say is "I think he just found it." In the end the guy broke his thigh and probably some ribs and had to be choppered out. Incredible but true!"

© J.Read and individual authors, 2001