Jackson's First Year



This page is dedicated to showing off our son,
Jackson Flint Mooney
Born Thursday, September 2, 1999
4:15 PM
9 lbs. 12 oz.
21.5 inches long


Navigate the links below to see pictures as he grows. I'll add more links as we develop more pictures (and I have time to update this page).

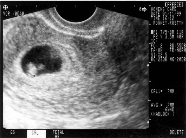
Here's a picture of the first sonogram, taken January 1999.
1st Sonogram


That's our little embryo there at 8 weeks, with a little yolk sack growing outside the main body. That's were the intestines develop until they sink into the body cavity.

dotPhotos from Jackson's birth (Warning! Some pictures show blood)

dotPhotos from Jackson's first week at home

dotPhotos from Jackson's first month with us

dotPhotos from Jackson's second month

dotJackson's first trip to the snow

dotPhotos from Jackson's fifth month

dotPhotos from Jackson's eighth month

dotPhotos from Jackson's tenth month

dotPhotos from Jackson's 1st Birthday!



arrowBack to Family Page